いびき
お口
ポカン
姿勢の
悪さ
これらの症状、将来の健康に
大きく影響を与えるかもしれません
無料相談 受付中
(対象年齢5歳~12歳)
無料相談のご予約はこちら
これらの症状、将来の健康に
大きく影響を与えるかもしれません
無料相談のご予約はこちら
その背景には、食生活や生活習慣の変化が影響しています。
80%
発音が悪くなり、
自信をなくす
脳への血流が低下し、
集中力・学習能力が
下がる
睡眠の質が低下し、
成長や健康に
悪影響を
与える
顔の骨格や歯並び
が
悪くなり、
見た目
に影響が出る
食事がうまく
噛めず、
消化不良や
肥満の原因に
歯並びが悪くなる原因は、
口呼吸・間違った舌の位置・
間違った飲み込み
です。これらが続くことで顎の発育が
正常に
進まず、歯並びが乱れる原因となります。
歯並びが悪くなる原因は、
口呼吸・間違った舌の位置・
間違った飲み込み
です。これらが続くことで顎の発育が
正常に
進まず、歯並びが乱れる原因となります。
お子さんの将来の健康と
笑顔のために、早めのケアを!
マイオブレースは、歯並びが
悪くなる原因を根本から治療し、顎の成長を促し
ながら歯並びを整えることで、お子さんを健康的な状態へ導く矯正方法です。








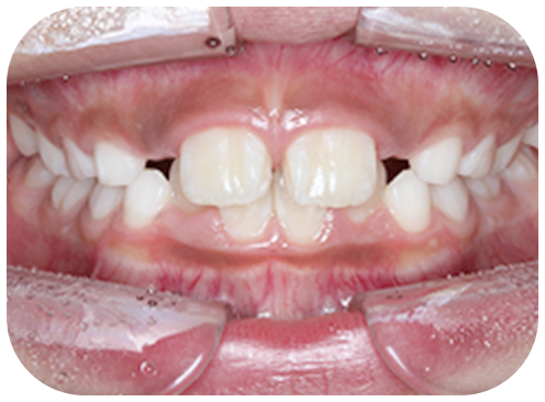
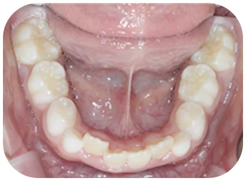
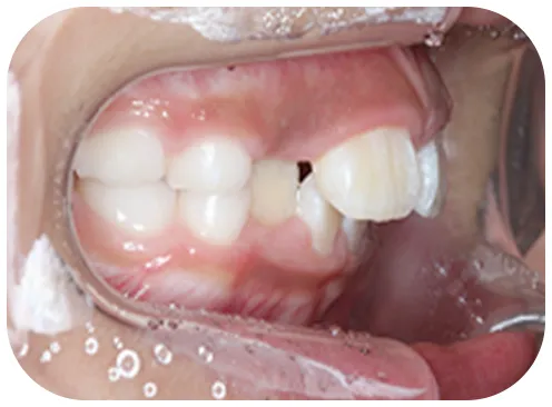
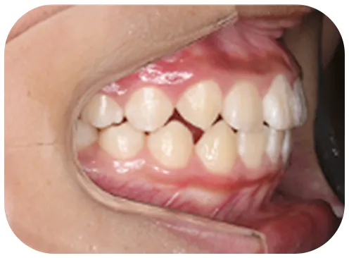
出っ歯 下の前歯のガタつきが気になる
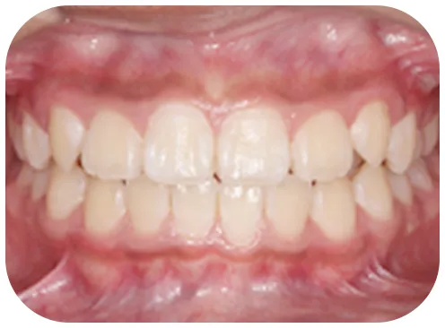
マイオブレース矯正
1年7か月
450,000円(税抜)+管理費(5,000円+税)
お子様がマウスピースの装着を忘れると
効果を感じられなくなる。
両消化吸収が促進され、栄養を
効率的に摂取可能
言葉がスムーズに話せ、
コミュニケーション力向上
鼻呼吸が促進され、風邪などの
病気予防
美しい顔立ちを形成し、自信UP
脳への血流が促進され、学習効果UP
いびきや睡眠時無呼吸症候群の改善
顔の発育は6歳までに約80%が完了し、その後は
成長が緩やかに
なります。そのため、6歳頃から
治療を始め、10歳までに
終えるのが理想的です。
マイオブレース矯正は、「遅れた発育」を
「正しい発育」に
近づけるための治療です。
顔の発育は6歳までに約80%が完了し、その後は
成長が緩やかに
なります。そのため、6歳頃から
治療を始め、10歳までに
終えるのが理想的です。
マイオブレース矯正は、「遅れた発育」を
「正しい発育」に
近づけるための治療です。
「10歳を過ぎたから…」と諦めず、
まずはご相談ください。 女の子は14歳、
男の子は17歳まで成長が続くため、
10歳以降でも治療が可能な場合があります。
|
一般的な 小児矯正 一般的な 小児矯正 |
マイオブレース 矯正 マイオブレース 矯正 |
|
|---|---|---|
| 装置 | ワイヤーや床矯正装置を利用 目立つ装置が多い |
マウスピース型の装置を利用。取り外しができ、日中1時間と就寝時に装着すればOK |
| 痛み | 力技で歯を動かすので 痛みが伴う |
痛みは伴わない |
| 抜歯の 必要性 |
抜歯すること もある |
抜歯しない |
| 治療中 むし歯に なる可能性 |
ワイヤーを利用する場合は取り外しができないため、むし歯になってしまう可能性が高い | 取り外しが可能でお口のケアがしっかりできるので、治療が原因でむし歯になる可能性は低い |
| 後戻り | 歯並びが悪くなる原因は改善されていないので、 歯並びが戻る確率が高まる |
原因から改善していくので、 歯並びは後戻りしづらい |
| トレーニング の有無 |
行わない | 1日数分のトレーニングを 自宅で行う必要あり |
| 副次的 効果 |
特になし | 正しい姿勢の獲得、アレルギー改善、アトピー改善、いびきの改善、ぜんそくの改善、 免疫機能の向上、飲み込み機能の向上 |
無料相談お口の状態をチェック
精密検査レントゲンや口腔内をチェック
治療計画の説明ご家庭内でのサポート方法もご案内
装置の装着&トレーニング開始
定期チェックとトレーニング月1回の通院
小児矯正(マイオブレース)
495,000円(税込)
マイオブレース(MRC)
認定クリニック
福岡県内10医院のみ(2025年1月時点)
マイオブレースに関するお役立ち情報発信中!
無料相談のご予約はこちら
ご一緒に
ケア・治療が可能!
歯並び・健康歯並び・健康
が気になる方は、
まずは無料相談へ!
家族みんなの
予防歯科の重要性を初めまして。徳永歯科・こども歯科、院長の徳永隼平です。
当医院は、歯が生えたばかりの小さなお子様から、
お父さん・お母さん・おじいちゃん・おばあちゃんまで、
生涯にわたって患者さんに寄り添い、健康づくりの
サポートを続ける、家族みんなのかかりつけ歯医者です。
お口のことに関して、気になることは何でも相談して
ください。地域の方々に
「この町に徳永歯科・こども歯科があってよかった」
そう思っていただけるような歯科医院を目指して、日々の
診療に取り組んでいきますので、宜しくお願い致します。
初めまして。徳永歯科・こども歯科、院長の徳永隼平
です。当医院は、歯が生えたばかりの小さなお子様か
ら、お父さん・お母さん・おじいちゃん・おばあちゃ
んまで、生涯にわたって患者さんに寄り添い、健康づ
くりのサポートを続ける、家族みんなのかかりつけ歯
医者です。お口のことに関して、気になることは何で
も相談してください。地域の方々に
「この町に徳永歯科・こども歯科が
あってよかった」そう
思っていただけるような
歯科医院を目指して、
日々の診療に取り組んで
いきますので、
宜しくお願い致します。
〒813-0043福岡市東区名鳥5-6-28